
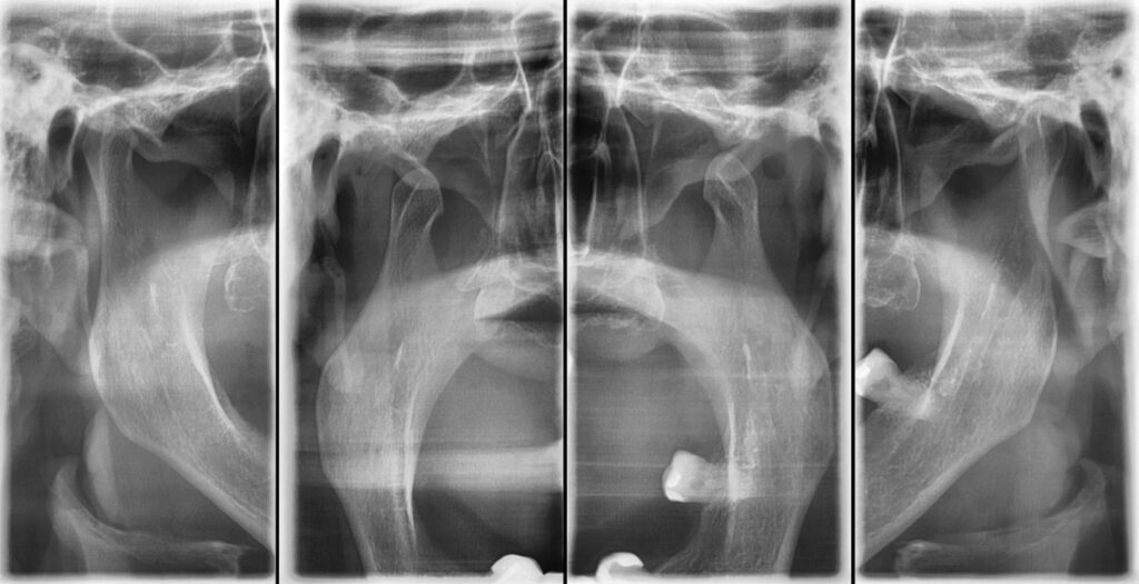
A radiografia da articulação temporomandibular (ATM) permite a avaliação detalhada dessa articulação crucial para a função mastigatória.
Benefícios
Identificação de disfunções da ATM.
Avaliação de alterações degenerativas.
Planejamento de tratamentos para DTM (Disfunção Temporomandibular).
Monitoramento de condições articulares ao longo do tempo.
Vantagens
Imagem específica da ATM, sem interferência de outras estruturas.
Alta resolução para diagnóstico preciso.
Auxílio na diferenciação de causas de dor orofacial.
Procedimento rápido e com mínima exposição à radiação.